Tecido muscular, o que é? Definição, principais tipos e características

O tecido muscular tem como principal característica a capacidade de contração. Ele é importante, pois permite diversos movimentos do corpo.

Tecido muscular, o que é? Definição, características e os 3 tipos

O tecido muscular é caracterizado por sua capacidade de contração e alongamento. Em suma, as células presentes no nessa região muscular são denominadas como fibras musculares ou miócitos.

Outra característica do tecido muscular é sua importância para o corpo humano. Isso porque, ele é responsável pela contratilidade, ou seja, por garantir – através do alongamento e contração – os movimentos do corpo e o batimento do coração

Em síntese, o tecido muscular se divide em três tipos que são definidos como: tecido muscular estriado esquelético, tecido muscular liso e tecido muscular estriado cardíaco.

Características do tecido muscular

As células do tecido muscular, chamadas de fibras musculares, apresentam citoplasma que contém grande quantidade de fibras proteicas. Em suma, são essas fibras proteicas as responsáveis pela capacidade de contração.

Tecido muscular, o que é? Definição, características e os 3 tipos
OPAS

Quando se fala sobre células musculares, é importante ressaltar que elas apresentam algumas denominações especificas, como, por exemplo, a membrana celular (estrutura que delimita todas as células vivas), conhecida como sarcolema.

Outros componentes das células musculares que têm denominações especificas são: O citosol (líquido que preenche o interior do citoplasma) determinado como sarcoplasma, e o retículo endoplasmático (conjunto de membranas que transporta várias substâncias), conhecido como sarcoplasmático.

Importância para o corpo humano

Em síntese, o ato de contração realizado pelo tecido muscular é proveniente dos filamentos proteicos como a actina e miosina. Dessa forma, os filamentos utilizam a energia originária das moléculas de ATP (adenosina trifosfato) para a contração.

Tecido muscular, o que é? Definição, características e os 3 tipos
Estudo Prático

No que tange sua importância para o organismo, a contração muscular, além de permitir características como excitabilidade, contratilidade, extensibilidade e elasticidade, é essencial para processos fisiológicos como a digestão, a circulação sanguínea e também para o processo de batimento do coração humano.

Em suma, é o processo de contração do coração e sincronismo com os dos músculos esqueléticos que fazem as veias se comprimirem. Nesse ínterim, todo esse processo ajuda o sangue a se deslocar e voltar para o coração.

Além das funções citadas acima, o tecido muscular tem funções como: garantir a estabilização do corpo e a manutenção da postura. Além disso, o tecido auxilia que determinados órgãos aumentem e, logo depois, retornem ao tamanho de origem.

Tipos de tecido muscular

Em síntese, existem três tipos de tecido muscular, sendo eles:

1.Tecido muscular liso

Também conhecido como não-estriado, o tecido liso se caracteriza pela falta de estriações. Em suma, esse tecido está presente em órgãos viscerais como estômago, intestino, bexiga, útero, vasos sanguíneos, entre outros.

Contudo, as células do músculo liso são fusiformes, ou seja, tem formato de um fuso. São alongadas e apresentam extremidades delgadas. Além disso, seus núcleos são centrais e elas apresentam contrações lentas e involuntárias.

Tecido muscular, o que é? Definição, características e os 3 tipos
Slide Player

Nesse ínterim, essas células do tecido muscular liso são responsáveis pelos movimentos involuntários que o corpo realiza. Exemplificando, elas podem ser notadas nas contrações uterinas durante o parto.

Outra característica das células presente no músculo liso é seu revestimento. Isso porque, elas se revestem por uma lâmina basal.

Dessa forma, permanecem unidas através de uma rede de fibras musculares. Todo esse processo é responsável pela contração, para que algumas células contraiam o músculo por inteiro.

2. Músculo estriado esquelético

O músculo estriado esquelético se constitui por meio de células alongadas. Em suma, essas células são uma fusão de células precursoras denominadas miócitos. Elas se caracterizam como multinucleadas e seus núcleos ocupam porções mais periféricas da célula.

É por meio do tecido muscular estriado esquelético que ocorre a contração voluntária do organismo. Além disso, o músculo estriado está diretamente ligado aos ossos, o que atribui a responsabilidade de locomoção.

As células do músculo estriado esquelético apresentam grandes quantidades de filamentos como a actina e a miosina. Por esse motivo, as células apresentam uma aparência estriada quando vistas ao microscópio, com faixas claras e escuras.

Blogdescalada

Outra característica importante é a contração desse tipo de tecido que é rápida e rigorosa, porém não involuntária.

Em outras palavras, para que a célula desse tecido se contraia, é necessário o comando do corpo. Exemplificando, os músculos estriados esqueléticos estão presos aos ossos. Isso ocasiona no processo de conversão da contração muscular em movimento, como é o caso dos bíceps e o tríceps.

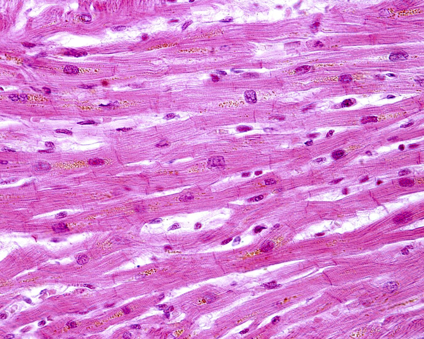
3. Tecido muscular estriado cardíaco

Esse tecido se localiza no coração e também apresenta estriações nas células. Além disso, são alongadas e ramificadas. Em suma, as ramificações são unidas por estruturas chamadas de discos intercalares.

Basicamente, os discos intercalares têm a função de transmissão, isto é, eles fazem a ponte entre uma célula para outra. Sua função é importante para garantir a sincronização da contração cardíaca.

ISP Saúde

Nesse ínterim, os discos intercalares também impedem que as células se separem quando ocorre o batimento do coração. As fibras do músculo cardíaco se constituem por dois núcleos, que estão na posição mais central ou próxima a essa região.

No que tange as contrações, as do músculo estriado cardíaco são involuntárias, isto é, acontecem independentemente do controle do corpo.

Além disso, nesse músculo, as células contêm várias mitocôndrias, que podem ser verificadas em consequência de seu grande metabolismo e sua necessidade constantemente de ATP.

O que achou do texto? Quer saber mais? Confira também nosso conteúdo sobre Órgãos do corpo humano – Quais são, funções e características

Fontes: Toda Matéria, Biologia Net, Brasil Escola

Imagens: Estudo Prático, Info Escola, Blogdescalada, Slide Player, ISP Saúde, OPAS

Escolhidas para você

Deixe um comentário

O seu endereço de e-mail não será publicado. Campos obrigatórios são marcados com *